Straight, well‑aligned teeth support long‑term oral health, balanced facial aesthetics and confident smiling. At Dental Garden, we offer modern orthodontic options - including clear aligners, braces, expanders and orthopaedic appliances - tailored to children, teens and adults.







Clear aligners are a type of orthodontic device that can help you straighten your teeth without metal braces. They are made of transparent plastic and fit snugly over your teeth, making them less noticeable than traditional braces. Clear aligners work by applying gentle pressure to your teeth, gradually moving them into the desired position. You will need to wear a series of aligners, each one slightly different from the previous one, to achieve your ideal smile.
There are different brands of clear aligners available in Australia, such as SureSmile, Invisalign, Spark, Race, Reveal and Clear Correct. Each brand has its own features, benefits, costs, and treatment time. Here at Dental Garden our preferred clear aligner system is SureSmile by Dentsply Sirona, a well trusted German dental manufacturing company. We love SureSmile because the treatment plan is designed by a specialist orthodontist, and is then customised by the dentist and technician until we have designed your ideal smile goals.
We use 3D digital scanning, photography and CBCT (3D digital radiography) to correlate your teeth, gums, face and bone to aid in safety and predicatbility of results.
If you are interested in clear aligners, you should consult with a qualified dentist or orthodontist who can assess your teeth and recommend the best treatment for you. You can also learn more about SureSmile clear aligners by visiting their website
Initial consultation - dental x-rays, intraoral 3D scans, dental photographs.
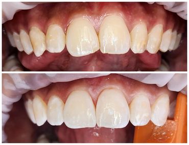
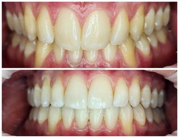
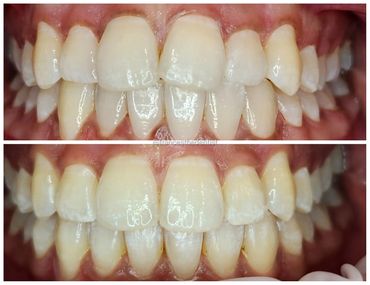
Clear aligners gradually straighten your teeth without the use of any metal braces. It is more comfortable and better aesthetic and transparent so that it is less noticeable than traditional orthodontic treatments.
These aligners are completely removable so you can remove them to eat, brush your teeth and floss as normal.
Your custom designed clear aligners
Two aligner boxes
"Brite" cleaning tablets
Aligner chewies

Predictable results. Your customized treatment plan is developed by real dental experts at the SureSmile® Digital Lab who partners with your doctor to understand your unique smile and desired outcomes to make sure you get the results you want in the time you expect.
Support to stay on track. Your doctor may provide you with the SureSmile® VPro™ High Frequency Vibration Device to be used only 5 minutes a day with clear aligners. It may improve the comfort of treatment and will help your aligners fit just right.1-3 Your doctor will monitor your progress throughout your journey to ensure treatment is going as planned.
Lasting results. SureSmile® Retainers and SureSmile™ Whitening Kit help maintain your new smile after treatment has ended.
Dr. Sandra Pedram, a highly experienced dentist at Dental Garden, has nearly 20 years of experience. She graduated from the University of Sydney in 1997 and has completed extensive post-graduate studies in various fields, including orthodontics, cosmetic dentistry, and sleep apnoea. Dr. Pedram treats patients of all ages, specialising in orthodontics, craniofacial growth issues, cosmetic dentistry, and facial aesthetics. She is a member of several professional organisations, reflecting her dedication to continued education and patient care. Her gentle approach and expertise make her a trusted source for your invisalign journey.

book a consultation prior to treatments not listed in our online booking system
We strive to provide the highest quality dental care in a comfortable and welcoming environment. Our comprehensive services include everything from routine checkups to complex treatments.
We use cookies to analyze website traffic and optimize your website experience. By accepting our use of cookies, your data will be aggregated with all other user data.